Home
|
Zahntechnik Greve
|
Referenzen
|
Zahngold Ankauf
|
Kontakt
|
Frontzahnrestauration
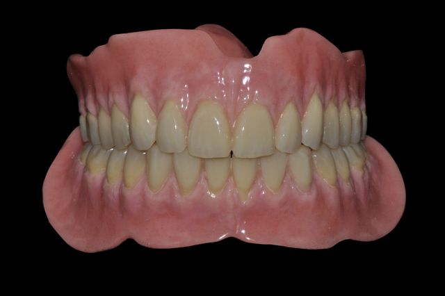
Totalprothetik
Demo-Arbeiten